Mục lục
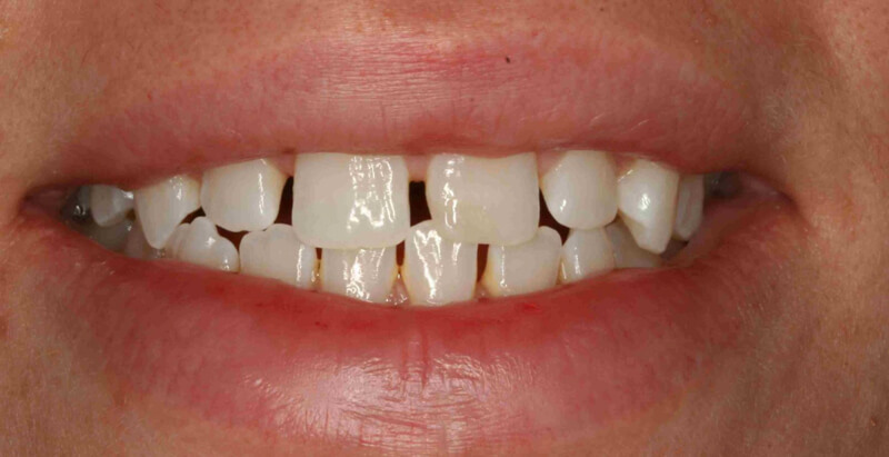
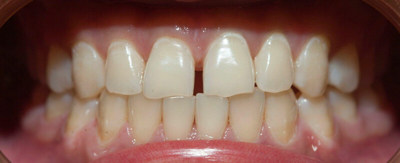
Niềng răng cửa thưa – một trong những phương pháp niềng răng được quan tâm và lựa chọn thực hiện hiện nay. Với kết quả mang lại lâu dài và hiệu quả, chúng ngày càng trở nên được ưa chuộng. Chính vì thế, có không ít những băn khoăn, thắc mắc của các khách hàng ở phương pháp chỉnh nha này. Hãy cùng hiDental tìm hiểu rõ hơn trong bài viết dưới đây ngay nhé!
Thank you for reading this post, don't forget to subscribe!Niềng răng cửa thưa có hiệu quả hay không?
Với câu hỏi này, sẽ có hai đáp án được đưa ra là có hiệu quả và không hiệu quả. Vì sao lại có hai đáp án ở cùng một câu hỏi như thế? Thực ra, bởi vì trường hợp răng cửa thưa thường được mọi người xem là chỉ niềng hai răng cửa. Và khi chỉ niềng hai răng cửa, câu trả lời sẽ là không hiệu quả. Bởi vì trong cả một hàm răng, khi bạn chỉ niềng mỗi hai chiếc răng thì hai răng ấy có thể đều nhưng các răng còn lại thì không. Chúng sẽ vẫn lệch lạc, không chuẩn tỉ lệ và khớp cắn.

Còn với đáp án hiệu quả, niềng răng cửa thưa sẽ chỉ hiệu quả khi chúng ta niềng cả hai hàm răng. Do bởi khi ấy, các bác sĩ sẽ điều chỉnh được cả hai hàm cho chuẩn tỉ lệ khớp cắn giữa cả hai hàm. Các răng lệch lạc cũng được sắp xếp và đưa về đúng vị trí mà nó nên đứng. Thế nên, bạn cần nhớ rằng chỉnh nha sẽ chỉ hiệu quả khi thực hiện trên cả hai hàm.
Nên niềng răng cửa bị thưa bằng khí cụ nào?
Phương pháp hay khí cụ niềng răng sẽ là yếu tố quyết định đến 50% sự thành công của quá trình điều trị. Do đó, bạn hãy nên cân nhắc, tìm hiểu kỹ và nghe theo những lời khuyên của các nha sĩ. Hiện nay, trong nha khoa có hai phương pháp niềng răng cửa thưa. Một là niềng răng mắc cài và hai niềng răng không mắc cài (niềng khay trong suốt). Bạn có thể tham khảo kỹ hơn về các phương pháp này thông qua nhiều nguồn khác nhau. Nhưng chung quy thì:

- Niềng răng mắc cài: sử dụng các dây cung và mắc cài tạo lực lên răng để khiến chúng di chuyển đến vị trí mong muốn. Nhược điểm của phương pháp này là tính thẩm mỹ kém, hơi khó khăn trong việc vệ sinh cũng như ăn uống. Bị cộm và hơi khó chịu trong thời gian đầu điều trị. Tuy nhiên, chi phí điều trị thấp là một trong những ưu điểm lớn của phương pháp này.
- Niềng răng không mắc cài: sử dụng rất nhiều khay niềng răng trong suốt trong quá trình điều trị. Các khay được gắn chặt lên hàm răng tạo một lực vừa đủ và di chuyển từ từ các răng đến vị trí mong muốn. Ưu điểm của phương pháp là tính thẩm mỹ cao, dễ dàng trong việc vệ sinh và ăn uống. Một điểm trừ nho nhỏ là phương pháp có chi phí cao, không phù hợp cho nhiều đối tượng khách hàng.
Ở mỗi quy trình sẽ có những ưu nhược điểm khác nhau. Tùy thuộc vào tình trạng và sức khỏe răng miệng mà các nha sĩ sẽ đưa ra phương pháp phù hợp nhất dành cho bạn.
Niềng răng cửa thưa ở đâu tốt?
Ngoài phương pháp thực hiện, phòng khám nha khoa điều trị cũng là một trong những yếu tố quan trọng quyết định đến kết quả niềng răng. Vậy những yếu tố gì sẽ quyết định một phòng khám nha khoa uy tín và chất lượng?

- Đội ngũ bác sĩ có chuyên môn cao và tay nghề giỏi về niềng răng
- Kỹ thuật niềng răng hiện đại, tiên tiến
- Máy móc, thiết bị hỗ trợ an toàn, đảm bảo
- Khí cụ niềng răng đa dạng
- Chi phí hợp lý, thanh toán linh hoạt
Những điều kiện trên sẽ là những yếu tố chính quyết định một phòng khám nha khoa tốt mà bạn nên lựa chọn thực hiện. HiDental – phòng khám nha khoa uy tín quận 7 tự hào khi hội đủ các yếu tố trên. Ngoài ra, với một quy trình điều trị niềng răng cửa thưa rõ ràng, cụ thể, an toàn, hiệu quả hiDental tự tin mang lại cho quý khách hàng một hàm răng chắc khỏe, một nụ cười tỏa sáng.
– hiDental –

EN
日本語