Mục lục
Niềng răng cửa mất bao lâu có vẻ như là vấn đề được rất nhiều người có ý định thực hiện phương pháp này quan tâm. Chỉnh nha từ trước đến nay vẫn luôn là một trong những cách giúp khắc phục tình trạng răng miệng một cách an toàn, hiệu quả và bền vững.
Thank you for reading this post, don't forget to subscribe!Thế nhưng với khoảng thời gian điều trị kéo dài đã làm cho không ít người phải e dè. Vậy niềng răng cửa thưa mất bao lâu nếu chỉ niềng các răng bị thưa? Niềng răng cửa mọc lệch mất bao lâu nếu chỉ niềng các răng bị lệch? Hãy cùng hiDental tìm hiểu ngay thôi!
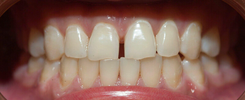
Chỉ niềng các răng mọc lệch lạc thôi có được không?
Đây là một trong những câu hỏi mà nha khoa hiDental đã gặp rất nhiều trong suốt quá trình thăm khám cho các bệnh nhân. Với tâm lý sợ đau, sợ tốn nhiều thời gian, sợ thẩm mỹ kém đã khiến không ít người đắn đo.

Bạn cần nên biết, niềng răng là kỹ thuật dùng các khí cụ như mắc cài, dây cung hay khay niềng tác động một lực lên răng hàm nhằm di chuyển các răng về vị trí mong muốn. Chính vì điều đó, niềng răng cần phải thực hiện trên một hàm răng hay cả hai hàm mới có thể mang lại kết quả như mong muốn.
Ngoài ra, chỉ điều trị nắn chỉnh răng trên các răng lệch lạc có thể sẽ giúp các răng ấy thẳng đều. Thế nhưng việc này đồng thời đã khiến những chiếc răng khác lại không đồng đều, không chuẩn tỉ lệ. Do đó, nếu muốn kết quả của quá trình niềng răng tốt đẹp chúng ta hãy nên niềng cả hai hàm răng.
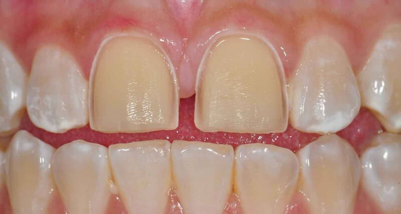
Niềng răng cửa mất bao lâu?

Vấn đề chính của chúng ta đây rồi. Vì chỉ niềng các răng lệch lạc thôi sẽ không giúp ích gì trong việc khắc phục tình trạng răng miệng. Thế nên niềng nguyên hàm sẽ là phương pháp tối ưu nhất. Thời gian niềng răng cửa mất bao lâu sẽ còn tùy thuộc vào các yếu tố như:
Phương pháp thực hiện
Hiện nay, các phương pháp cải thiện hàm răng lệch lạc trong nha khoa ngày càng cải tiến vượt bậc. Nếu trước đây chúng ta chỉ có thể thực hiện niềng răng với các mắc cài và dây cung. Thì ngày nay đã có thêm các loại như niềng mắc cài sứ, niềng mắc cài tự đóng, niềng không mắc cài. Ưu điểm của những phương pháp sinh sau đẻ muộn chính là mang đến tính thẩm mỹ cao, dễ dàng trong việc chăm sóc. Thế nhưng, thời gian cũng sẽ lâu hơn một chút so với niềng răng mắc cài kim loại.
Tình trạng răng miệng
Là một trong những yếu tố quan trọng quyết định quá trình niềng răng cửa mất bao lâu. Tình trạng miệng sẽ được tính cả trước và trong quá trình điều trị chỉnh nha. Cụ thể, nếu trước khi niềng, bạn mắc phải các vấn đề về nha chu, buộc lòng các bác sĩ sẽ phải chữa trị dứt điểm cho bạn sau đó mới thực hiện niềng. Trong quá trình điều trị, nếu răng miệng vẫn gặp một số tình trạng không như mong muốn, các bác sĩ cũng sẽ tạm ngưng điều trị và chữa trị vấn đề. Điều này sẽ giúp cho kết quả niềng răng sau này được như mong muốn nhưng thời gian cũng có thể kéo dài.
Điều trị ở phòng khám nào
Lựa chọn phòng khám nha khoa uy tín, chất lượng sẽ rút ngắn thời gian điều trị từ 30-40%. Một nha khoa tốt sẽ có một quy trình thăm khám và niềng răng đúng chuẩn. Cơ sở vật chất, thiết bị thăm khám hiện đại, đội ngũ bác sĩ có chuyên môn, tay nghề giỏi. Lựa chọn đúng nơi thực hiện niềng răng còn giúp bạn có được kết quả cải thiện răng hàm như mong muốn.
Ngoài ra, thời gian niềng răng cửa mất bao lâu cũng sẽ tùy thuộc ít nhiều vào cách chăm sóc, vệ sinh răng miệng và chế độ ăn uống. Đặc biệt, độ tuổi thực hiện chỉnh nha cũng sẽ ảnh hưởng không kém đến thời gian. Vì thế, hãy đến ngay các phòng khám nha khoa uy tín để được thăm khám và nhận sự tư vấn từ bác sĩ nha khoa.
– hiDental –

EN
日本語