Mục lục
Có Nên Tẩy Trắng Răng Không? Nha Khoa hiDental Giải Đáp Từ A Đến Z
Nụ cười sáng rạng ngời là điều mà bất kỳ ai cũng mong muốn. Trong đó, hàm răng trắng sáng đóng vai trò quan trọng trong việc tạo ấn tượng và tăng sự tự tin. Tuy nhiên, không ít người vẫn băn khoăn có nên tẩy trắng răng không, liệu quy trình này có an toàn và hiệu quả? Nha khoa hiDental – một địa chỉ uy tín tại TP.HCM, sẽ giúp bạn giải đáp thắc mắc này và cung cấp các giải pháp tối ưu để sở hữu hàm răng trắng sáng.
Thank you for reading this post, don't forget to subscribe!
Tẩy Trắng Răng Là Gì?
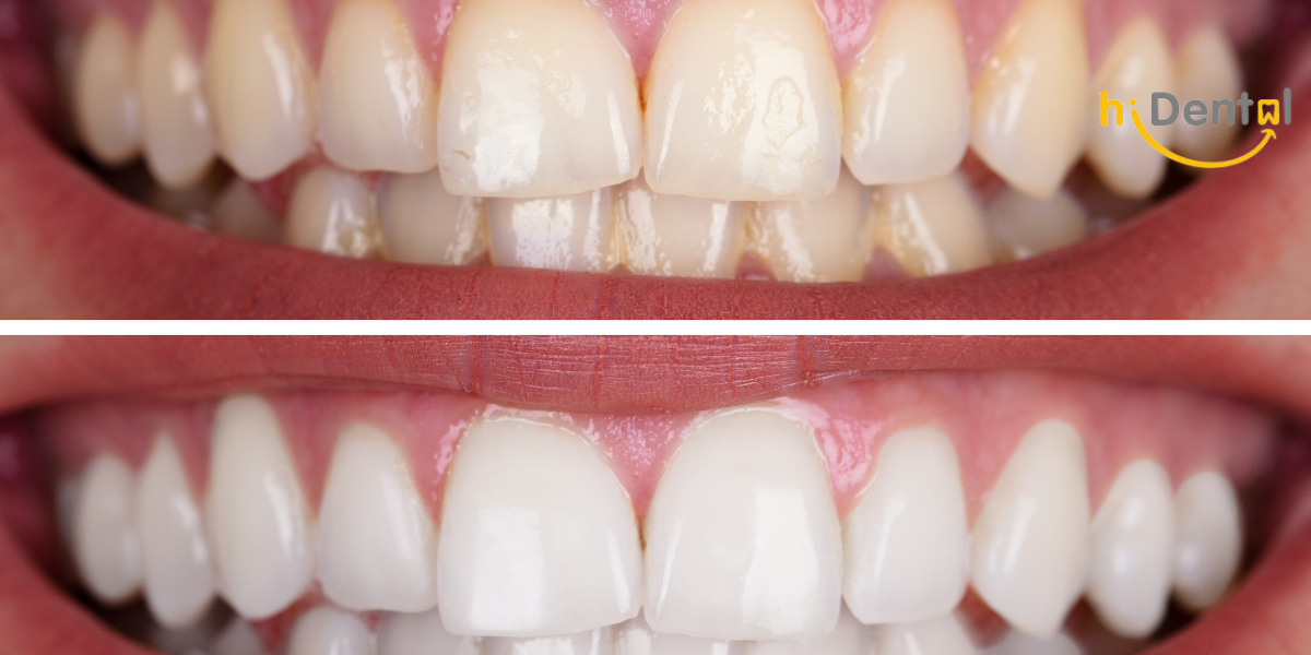
Tẩy trắng răng là phương pháp sử dụng các hợp chất làm trắng (thường là hydrogen peroxide hoặc carbamide peroxide) để loại bỏ các vết ố vàng, giúp răng sáng bóng hơn. Quy trình này thường được thực hiện tại phòng khám nha khoa hoặc tại nhà với hướng dẫn cụ thể từ bác sĩ.
Có Nên Tẩy Trắng Răng Không?
1. Những Lợi Ích Khi Tẩy Trắng Răng
- Tăng sự tự tin: Một nụ cười trắng sáng sẽ giúp bạn tự tin hơn trong giao tiếp.
- Cải thiện thẩm mỹ: Răng trắng giúp khuôn mặt trông rạng rỡ, trẻ trung hơn.
- Loại bỏ vết ố vàng: Các vết ố do thực phẩm, nước uống hoặc thuốc lá sẽ được làm sạch hiệu quả.
- Kết quả nhanh chóng: Chỉ sau một buổi tẩy trắng tại nha khoa, bạn có thể thấy rõ sự khác biệt.
2. Những Lưu Ý Trước Khi Quyết Định Tẩy Trắng Răng
Mặc dù tẩy trắng răng mang lại nhiều lợi ích, nhưng không phải ai cũng phù hợp với phương pháp này. Dưới đây là những trường hợp cần cân nhắc:
- Răng nhạy cảm: Người có men răng yếu hoặc dễ bị ê buốt nên thảo luận kỹ với bác sĩ trước khi tẩy trắng.
- Răng bị nhiễm màu nặng: Với các trường hợp nhiễm màu do tetracycline hoặc fluor, tẩy trắng răng có thể không đạt hiệu quả cao.
- Phụ nữ mang thai hoặc cho con bú: Được khuyến cáo không thực hiện để đảm bảo an toàn.
- Trẻ em dưới 16 tuổi: Men răng chưa phát triển hoàn thiện nên hạn chế sử dụng chất tẩy trắng.
3. Tẩy Trắng Răng Có An Toàn Không?
Khi được thực hiện đúng cách dưới sự giám sát của bác sĩ, tẩy trắng răng là một quy trình an toàn và hiệu quả. Tại Nha khoa hiDental, chúng tôi sử dụng các công nghệ hiện đại nhất, đảm bảo không gây hại cho men răng và nướu.

Lựa Chọn Nha Khoa hiDental Để Tẩy Trắng Răng
Nếu bạn đang tìm kiếm địa chỉ tẩy trắng răng uy tín, an toàn và hiệu quả, Nha khoa hiDental chính là lựa chọn hàng đầu. Với nhiều năm kinh nghiệm trong lĩnh vực chăm sóc răng miệng, chúng tôi tự hào mang lại nụ cười tươi sáng cho hàng ngàn khách hàng.
1. Công Nghệ Tẩy Trắng Hiện Đại
Tại hiDental, chúng tôi áp dụng công nghệ tẩy trắng răng bằng đèn Zoom tiên tiến:
- Hiệu quả vượt trội: Làm trắng răng từ 2-4 tông chỉ sau 1 buổi thực hiện.
- An toàn cho men răng: Công nghệ kiểm soát nồng độ chất tẩy và ánh sáng laser để tránh tổn thương men răng.
- Giảm ê buốt: Sử dụng gel bảo vệ giúp răng không bị nhạy cảm sau khi tẩy.

2. Quy Trình Tẩy Trắng Chuyên Nghiệp
Quy trình tẩy trắng tại hiDental được thực hiện theo các bước chuẩn y khoa:
- Thăm khám và tư vấn: Bác sĩ kiểm tra tình trạng răng miệng và tư vấn liệu pháp phù hợp.
- Làm sạch răng miệng: Lấy cao răng và vệ sinh kỹ lưỡng để tối ưu hiệu quả tẩy trắng.
- Thực hiện tẩy trắng: Sử dụng công nghệ đèn Zoom và gel làm trắng chuyên dụng.
- Hướng dẫn chăm sóc: Khách hàng được hướng dẫn cách duy trì răng trắng lâu dài sau điều trị.
3. Đội Ngũ Bác Sĩ Chuyên Nghiệp
hiDental tự hào sở hữu đội ngũ bác sĩ giàu kinh nghiệm, tận tâm và luôn lắng nghe khách hàng. Mỗi khách hàng đều được tư vấn kỹ lưỡng để đảm bảo quá trình tẩy trắng diễn ra an toàn, hiệu quả.
4. Không Gian Thoải Mái, Tiện Nghi
Không gian tại Nha khoa hiDental được thiết kế hiện đại, sạch sẽ và thoải mái, giúp khách hàng cảm thấy thư giãn trong suốt quá trình điều trị.

Những Điều Cần Lưu Ý Sau Khi Tẩy Trắng Răng
Để duy trì kết quả tẩy trắng lâu dài, bạn cần chú ý một số điều sau:
- Hạn chế thực phẩm gây màu: Tránh cà phê, trà, rượu vang đỏ, nước ngọt có màu, và các thực phẩm sẫm màu khác trong ít nhất 48 giờ đầu sau khi tẩy trắng.
- Chăm sóc răng miệng đúng cách: Đánh răng 2 lần/ngày, sử dụng chỉ nha khoa và nước súc miệng.
- Tái khám định kỳ: Đến nha khoa kiểm tra và lấy cao răng để duy trì sức khỏe răng miệng.
- Tránh thuốc lá: Thuốc lá là nguyên nhân chính gây vàng răng, nên loại bỏ để giữ hàm răng luôn trắng sáng.
Phản Hồi Từ Khách Hàng
Nha khoa hiDental đã nhận được rất nhiều đánh giá tích cực từ khách hàng sau khi trải nghiệm dịch vụ tẩy trắng răng:
- Chị Ngọc Anh (Thảo Điền): “Tôi rất hài lòng với dịch vụ tại hiDental. Răng trắng sáng hơn hẳn và không bị ê buốt như tôi lo lắng ban đầu.”
- Anh Quang Huy (An Phú): “Quy trình tẩy trắng rất nhanh chóng, bác sĩ tư vấn kỹ càng. Tôi cảm nhận sự khác biệt ngay sau buổi đầu tiên.”
- Chị Minh Thư (Bình Thạnh): “Không gian phòng khám thoải mái, sạch sẽ. Tôi sẽ quay lại hiDental để sử dụng thêm các dịch vụ khác.”

Kết Luận
Vậy, có nên tẩy trắng răng không? Câu trả lời là có, nếu bạn muốn sở hữu nụ cười tự tin và rạng rỡ hơn. Tuy nhiên, điều quan trọng là phải lựa chọn địa chỉ nha khoa uy tín để đảm bảo hiệu quả và an toàn.
Hãy để Nha khoa hiDental đồng hành cùng bạn trên hành trình cải thiện nụ cười. Với công nghệ hiện đại, đội ngũ bác sĩ tận tâm và dịch vụ chất lượng cao, hiDental cam kết mang lại cho bạn trải nghiệm tuyệt vời và kết quả vượt mong đợi.
Liên hệ với Nha Khoa hiDental
Nếu bạn đang tìm kiếm một nha khoa uy tín. Hãy liên hệ ngay với Nha Khoa hiDental để được tư vấn và hỗ trợ chi tiết. Đội ngũ bác sĩ chuyên nghiệp sẽ đồng hành cùng bạn trên con đường phục hồi nụ cười.
- Chi nhánh Quận 2: 62 Bát Nàn, Bình Trưng Tây, TP. Thủ Đức (Quận 2 cũ), TP.HCM
- Chi Nhánh Quận 7: 161 Huỳnh Tấn Phát, Tân Thuận Đông, Quận 7, TP.HCM
- Hotline: (028) 35359362 (Quận 2) / (028) 62873557 (Quận 7)
- Website: https://hidental.dev.sugaweb.com/
- Fanpage: https://www.facebook.com/TheHiDental
- Youtube: https://www.youtube.com/@nhakhoahidental4269
Xem thêm tại:
– cạo vôi răng
– chữa tủy răng
– niềng răng trong suốt
– điều trị nha chu
– nha khoa uy tín quận 2
– địa chỉ bọc răng sứ tốt
– quy trình niềng răng invisalign
– địa chỉ cấy ghép implant tốt
– có nên niềng răng không
– lưu ý sau khi cấy ghép implant
– trồng răng uy tín hcm
– nha khoa cấy ghép implant
– bọc răng sứ thẩm mỹ

EN
日本語