Bọc răng sứ titan (sứ Titanium) là một trong những phương pháp khá phổ biến và được sử dụng điều trị ở nhiều phòng khám nha khoa hiện nay. Đây cũng là sự lựa chọn của nhiều khách hàng khi có ý định thực hiện phương pháp này. Tuy nhiên, không phải ai cũng thực sự hiểu rõ về ưu nhược điểm cũng như tuổi thọ của loại răng sứ này. Hãy cùng hiDental tham khảo bài viết dưới đây để có được câu trả lời chính xác cho những vấn đề trên nhé!
Thank you for reading this post, don't forget to subscribe!I. Tìm hiểu phương pháp bọc răng sứ titan
Có thể nói, sứ titan là sản phẩm an toàn, tiết kiệm, hiệu quả và mang tính thẩm mỹ khá cho người sử dụng. So với các loại răng sứ kim loại thường với tuổi thọ thấp và loại răng toàn sứ với giá thành khá cao thì răng sứ titan với mức chi phí tầm trung nhưng hiệu quả mang lại vượt ngoài mong đợi luôn là một sự lựa chọn hoàn hảo.

1. Định nghĩa
Là dòng răng sứ kim loại có xuất xứ từ Đức và đã có mặt trên thị trường từ nhiều năm trước. Răng sứ titan là loại răng với phần sườn được chế tạo từ hợp kim Niken + Crom + Titan. Trong đó titanium chiếm chủ yếu từ 4-6% kèm theo lớp men sứ Ceramco 3 được phủ bên ngoài khiến loại răng này có độ cứng chắc khá cao.
Hợp kim titan có tính nhẹ, cứng và rất lành tính với cơ thể con người. Khả năng gây kích ứng gần như bằng không nên theo các chuyên gia sứ titan sẽ là lựa chọn khá tốt khi thực hiện bọc sứ. Bên cạnh đó, mão răng của sứ titan còn không hề bị oxy hóa trong môi trường miệng. Khả năng chịu được lực nhai tốt cũng được tìm thấy ở loại sứ này.
Ngoài ra, chúng còn có chi phí điều trị hợp lý, đáp ứng được yêu cầu cơ bản về độ lành tính, độ cứng cũng như tính thẩm mỹ. Bởi những lý do trên nên dù tồn tại bên cạnh nhiều loại răng sứ cao cấp khác nhưng sứ titan vẫn luôn nhận được sự quan tâm cũng như ưa chuộng của nhiều khách hàng.

2. Bọc răng sứ titan được bao lâu?
Tuổi thọ của răng vẫn là vấn đề luôn được rất nhiều người quan tâm khi quyết định thực hiện bọc sứ. Có một điều bạn nên chấp nhận là tuổi thọ của loại răng sứ này không thể kéo dài vĩnh viễn. Thông thường răng sứ titan có thời hạn hoạt động tốt nhất là từ 10-15 năm và có thể lâu hơn tùy thuộc vào:
- Lựa chọn được phòng khám thực hiện chất lượng, có đội ngũ bác sĩ giỏi
- Sản phẩm răng điều trị có chất lượng tốt, được sản xuất từ những thương hiệu lớn
- Chế độ ăn uống hợp lý, chế độ chăm sóc răng kỹ càng, đúng cách
3. Ưu & nhược điểm của sứ titan
Ưu và nhược điểm là điều không thể tránh khỏi ở bất cứ một phương pháp chữa trị nha khoa nào. Do đó, răng sứ titan cũng không phải là một trường hợp ngoại lệ.
3.1. Ưu điểm
- Tính tương hợp sinh học cao: ưu điểm lớn nhất của sứ titan là có tính tương hợp sinh học rất cao nên chúng sẽ không gây kích thích hay viêm nhiễm.
- Khả năng chịu lực tuyệt vời: xét về chất liệu, sứ titan được đánh giá có độ bền khá cao bởi khả năng tồn tại trong môi trường miệng lâu mà không bị oxy hóa. Nếu kết hợp cùng chế độ ăn uống và cách chăm sóc hợp lý thì tuổi thọ của chúng còn có thể kéo dài hơn nữa.
- Tính thẩm mỹ tương đối cao: mặc dù không thể so sánh với răng toàn sứ nhưng răng titan cũng được đánh giá tốt về tính thẩm mỹ. Răng có màu sắc gần giống với răng thật và khó có thể phân biệt nếu không có chuyên môn về nha khoa.

3.2. Nhược điểm
Với cấu tạo khung sườn làm bằng titan khiến cho đây vừa là ưu điểm cũng vừa là khuyết điểm của phương pháp này. Răng sứ titan thường có thân răng hơi đục, không có vẻ trắng sáng tự nhiên. Vùng nướu chân răng thâm do lớp sườn kim loại ánh ra. Không những thế, độ bóng và độ trong của răng cũng không được đánh giá cao.
4. Quy trình bọc răng sứ titan
Mặc dù là phương pháp với quá trình điều trị khá đơn giản, không phức tạp. Tuy nhiên, nếu quy trình thực hiện không đầy đủ, rõ ràng hoặc nhảy bước thực hiện thì hậu quả mang lại vô cùng khôn lường. Chính vì thế việc lựa chọn phòng khám điều trị sẽ vô cùng quan trọng. Nếu phòng khám chất lượng, quy trình điều trị cũng sẽ tốt hơn.
Cùng tham khảo quy trình bọc sứ răng tại hiDental:
- Thăm khám và tư vấn để bác sĩ cũng như bệnh nhân hiểu rõ được tình trạng răng miệng cũng như mong muốn chữa trị.
- Thống nhất hướng điều trị, quyết định loại răng sứ thực hiện.
- Chữa trị dứt điểm các bệnh lý răng miệng trước khi bọc sứ.
- Với triết lý “bảo tồn mô răng tối đa”, các bác sĩ sẽ chỉ sửa soạn răng vừa đủ để đạt thẩm mỹ nhưng không làm răng yếu đi về sau.
- Lấy mẫu răng để thiết kế mão (trong lúc chờ phục hình thật, các cùi răng sẽ được chụp một mão tạm thời bằng nhựa trắng).
- Bác sĩ thử mão trên răng và thực hiện một số điều chỉnh nhỏ.
- Gắn vĩnh viễn, kiểm tra lần cuối.
- Hướng dẫn chăm sóc và hẹn lịch tái khám.

II. Giải đáp thắc mắc xung quanh phương pháp bọc sứ titan
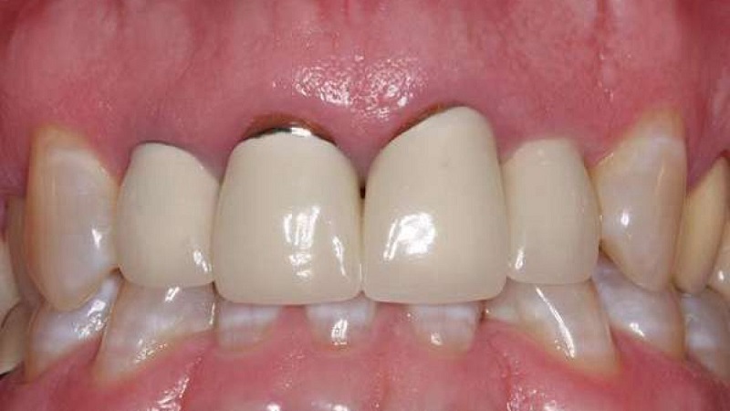
1. Bọc răng sứ titan có bị đen không?
Cũng như những loại răng sứ kim loại khác, răng sứ titan vẫn còn tồn tại những khuyết điểm lớn không thể khắc phục. Trong đó, răng có bóng đen mờ khi đi qua ánh sáng và đen viền nướu là một trong những điều làm chúng mất điểm trong mắt nhiều người.
Do phần khung sườn bên trong làm bằng kim loại có màu đen nên khi chiếu qua ánh đèn sẽ thấy rõ. Hiện tượng này cũng sẽ càng hiện rõ hơn về sau này. Tình trạng đen viền nướu thường sẽ càng thấy rõ sau một thời gian sử dụng sau khi lớp sứ đã bị oxy hóa đi. Hiện tượng xỉn màu răng và kích ứng nướu cũng có thể xảy ra ở phương pháp này.

2. Bọc răng sứ titan giá bao nhiêu?
Giá bọc răng sứ titan có lẽ là vấn đề khiến không ít người bận tâm và là yếu tố then chốt quyết định việc điều trị. Tuy nhiên, rất khó để có thể đưa ra một con số cụ thể cho vấn đề này. Bởi chi phí điều trị còn được quyết định bởi:
- Phòng khám nha khoa thực hiện
- Trình độ chuyên môn và tay nghề của bác sĩ điều trị
- Tình trạng răng miệng trước khi điều trị bọc sứ
- Số răng thực hiện bọc sứ
Bọc răng sứ titan có thể sẽ là một phương pháp hữu hiệu khi chúng ta gặp phải đúng những vấn đề mà chúng có thể khắc phục nhưng lại trở nên vô hiệu nếu chúng ta cứ bất chấp thực hiện mà không quan tâm đến kết quả. Hãy sáng suốt trong việc cải thiện răng miệng bằng phương pháp thẩm mỹ nha khoa và tham khảo ý kiến từ những phòng khám uy tín, chất lượng.
– hiDental –

EN
日本語