Bọc răng sứ cho răng hô có nên hay không? Răng hô bọc sứ có hết không? Bọc răng sứ giảm hô liệu có phải sự thật? … đó là 3 trong rất nhiều câu hỏi mà không ít người thắc mắc về phương pháp này. Nếu bạn chưa biết thì hô là hiện tượng răng mọc chìa ra ngoài hoặc hàm trên bị đưa ra trước lệch khỏi hàm dưới. Điều này không chỉ gây mất thẩm mỹ mà còn làm ảnh hưởng đến cắn khớp, quá trình ăn uống, sinh hoạt và nhiều bệnh về răng miệng.
Thank you for reading this post, don't forget to subscribe!Để điều trị được tình trạng trên thì bọc răng sứ là một trong những phương pháp rất được ưa chuộng bởi những ưu điểm mà nó mang lại. Tuy nhiên liệu áp dụng phương pháp này vào tình trạng răng hô liệu có hiệu quả? Tất cả sẽ được hiDental giải đáp qua bài viết sau đây!
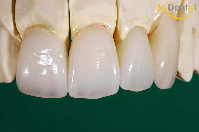
Bọc răng sứ có hết hô không?
Để giải đáp được câu hỏi “răng hô bọc răng sứ có hết không?” hay “bọc răng sứ có bớt hô không?” thì bạn cần hiểu rõ bản chất răng hô là gì. Trên thực tế răng hô có 2 loại:
- Hô do răng: Tình trạng răng mọc chìa ra ngoài
- Hô do hàm: Cấu trúc hàm trên đưa ra trước nhiều hơn so với hàm dưới
Về bản chất bọc răng sứ là phương pháp mài đi một phần răng thật sau đó lắp mão sứ vào để nhằm điều chỉnh lại hàm răng như mong muốn mà hoàn toàn không thể điều chỉnh được cấu trúc hàm. Vậy nên bọc sứ chỉ thật sự hiệu quả khi hô vẩu do răng và việc bọc răng sứ cho hàm hô thật sự khó mà thục hiện được. Từ đây có thể kết luận rằng nếu răng mọc chìa ra ngoài gây ra tình trạng hô vẩu thì bọc răng sứ có thể xử lý hoàn toàn hiện tượng này. Còn nếu cấu trúc hàm bị sai lệch gây hô thì bọc răng sứ gần như vô dụng.

Răng khấp khểnh có bọc sứ được không?
Răng khấp khểnh là hiện tượng răng mọc lệch gây sai lệch về cắn khớp và mất thẩm mỹ răng. Ở một số trường học răng mọc lệch ra ngoài gây ra hiện tượng hô vẩu thường thấy. Với tình trạng này thì phương pháp bọc răng sứ hoàn toàn thể giúp bạn có được hàm răng đẹp như ý.
Lưu ý khi bọc răng sứ cho răng hô
Khi bọc răng sứ cho răng hô vẩu bạn phải lưu ý những điều sau đây:
- Chỉ bọc răng sứ cho răng hô nhẹ: Phương pháp bọc răng sứ cần phải thực hiện mài đi một phần răng thật, bởi vậy nếu răng quá hô thì lượng răng thật mài đi sẽ khá nhiều, điều này làm cho răng bị yếu đi và dễ bị tổn thương hơn. Nếu răng hô nặng bạn nên niềng trước để đạt được hiệu quả và độ bền tốt nhất.
- Lựa chọn loại răng sứ phù hợp: Mỗi loại răng sứ sẽ có thuộc tính khác nhau vậy nên tùy vào yêu cầu, tình trạng răng và mức giá mà bạn sẽ phù hợp với một loại răng sứ nào đó. Tốt nhất hãy tham khảo ý kiến của nha sĩ trước khi bọc sứ nhé!
- Chăm sóc răng miệng cẩn thận: Răng sứ sau khi bọc xong nếu không được chăm sóc cẩn thận sẽ dễ gây ra các bệnh về răng miệng và giảm tuổi thọ răng sứ trầm trọng. Vậy nên hãy chăm sóc răng sứ thật tốt, vệ sinh cẩn thận để giữ được răng ở tình trạng tốt nhất.

Bọc răng sứ cho răng hô giá bao nhiêu?
Bọc răng sứ là phương pháp thẩm mỹ răng vô cùng phổ biến và gần như có mặt trên hầu hết mọi nha khoa hiện nay trên thị trường. Cũng bởi vậy mà mức giá phương pháp này thường cao thấp khác nhau tùy thuộc vào các yếu tố sau đây:
Chất lượng nha khoa
Chất lượng nha khoa ảnh hưởng rất nhiều đến hiệu quả của quá trình bọc sứ cũng như mức giá của nó. Nha khoa chất lượng cao được đánh giá bằng các yếu tốt:
- Đội ngũ y bác sĩ tốt, chuyên môn cao
- Trang thiết bị hiện đại
- Vệ sinh sạch sẽ, không gian được vô trùng
- Cơ sở vật chất tốt
Và hiển nhiên tại một phòng nha các yếu tố này càng chất lượng thì mức giá bọc răng sứ sẽ càng cao.
Xem thêm: Bọc răng sứ cho răng cửa liệu có được không?
Số lượng răng sứ cần bọc
Bởi mức giá bọc răng sứ sẽ được tính trên từng chiếc răng, bởi vậy mà số lượng răng sứ cần bọc càng cao thì mức giá sẽ càng cao.
Tình trạng răng miệng
Khi bọc răng sứ cho răng hô thì mức độ hô ảnh hưởng rất nhiều đến quá trình bọc sứ, răng càng hô thì độ khó của ca điều trị sẽ càng cao đồng nghĩa với việc mức giá bọc răng sứ sẽ cao hơn. Ngoài ra trong quá trình bọc răng sứ bạn cũng cần phải được điều trị các bệnh liên quan đến răng miệng nhằm đảm bảo hiệu quả điều trị và phòng tránh các hệ quả có thể xảy ra.
Loại răng sứ
Mỗi loại răng sứ có chất lượng, thuộc tính, độ bền và tuổi thọ khác nhau, bởi vậy mà mức giá mỗi loại cũng khác nhau.
Trên đây là những gì bạn cần biết giúp bạn giải đáp câu hỏi “có nên bọc răng sứ cho răng hô?”. Rất mong chúng tôi đã có thể giúp bạn giải đáp những thắc mắc hiện tại và có phương pháp thẩm mỹ răng tốt nhất.

EN
日本語